- case1.40代女性・上下前歯のデコボコな歯並びを改善したい
- case2.20代女性・八重歯を改善したい
- case3.60代女性・上下前歯のデコボコな歯並びを改善したい
- case4.20代女性・八重歯と開口を改善したい
- case5.20代男性・デコボコな歯並びを改善したい
- case6.20代女性・すきっ歯を改善したい
- case7.40代女性・前歯のデコボコな歯並びを改善したい
- case8.20代男性・上の歯がデコボコで咬み合わせが悪いのを改善したい
- case9.20代女性・上の歯が出ている、すきっ歯を改善したい
- case10.20代女性・上の歯が出ている、叢生でガタついているのを改善したい
- 全顎矯正の症例
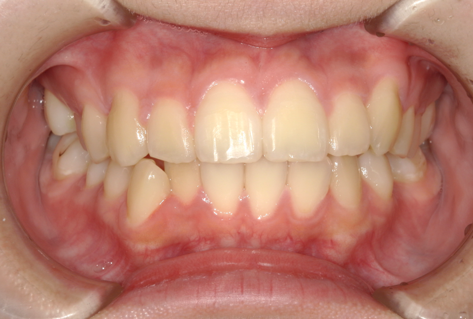
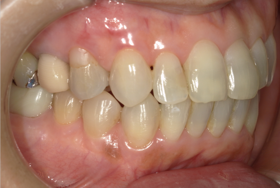
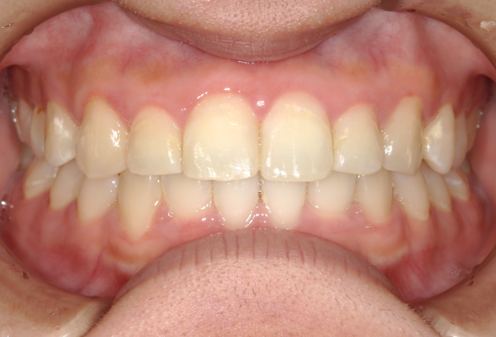
case1.40代女性・上下前歯のデコボコな歯並びを改善したい
術前①:正面
|
術後①:正面
|
|
術前②:右側面
|
術後②:右側面
|
|
術前③:左側面
|
術後③:左側面
|
|
術前④:上顎口腔内
|
術後④:上顎口腔内
|
|
術前⑤:下顎口腔内
|
術後⑤:下顎口腔内
|
| 主訴 | 前歯のがたつきが気になる |
|---|---|
| 診断名・主な症状 | 上顎側切歯が引っ込んでクロスバイトになっている。 下顎前歯も傾斜、ねん転している。 |
| 年齢 | 40代 |
| 治療に用いた主な装置 | 上顎…前歯と臼歯に部分的にブラケット装着 下顎…前歯 6 本にブラケット装着。上下前歯部に IPR(アイピーアール) |
| 抜歯有無・抜歯部位 | なし |
| 治療期間 | 1年8か月 |
| 治療費用 | 45万円 |
| リスク・副作用 | 上顎は 1 年足らずで整ったが完璧を求めたあまり下顎前歯のねん転に思いがけず時間がかかった。その分後戻りもしやすい為、 リテーナーで固定し、その上からマウスピースで保定をしている。 |
case2.20代女性・八重歯を改善したい
術前①:正面
|
術後①:正面
|
|
術前②:右側面
|
術後②:右側面
|
|
術前③:左側面
|
術後③:左側面
|
|
術前④:上顎口腔内
|
術後④:上顎口腔内
|
|
術前⑤:下顎口腔内
|
術後⑤:下顎口腔内
|
| 主訴 | 左上の八重歯が気になる |
|---|---|
| 診断名・主な症状 | 左側臼歯部の狭くなった歯列を広げることにより、IPR(アイピーアール)の量を少な くして整える。 |
| 年齢 | 20代 |
| 治療に用いた主な装置 | 左側は小臼歯までブラケットを装着 |
| 抜歯有無・抜歯部位 | なし |
| 治療期間 | 6 か月 |
| 治療費用 | 30 万円 |
| リスク・副作用 | 左上八重歯が後戻りしやすい為、裏から固定し、その上からマウスピースで保定している。 |
case3.60代女性・上下前歯のデコボコな歯並びを改善したい
術前①:正面
|
術後①:正面
|
|
術前②:右側面
|
術後②:右側面
|
|
術前③:左側面
|
術後③:左側面
|
|
術前④:上顎口腔内
|
術後④:上顎口腔内
|
|
術前⑤:下顎口腔内
|
術後⑤:下顎口腔内
|
| 主訴 | 前歯のがたつきが気になる |
|---|---|
| 診断名・主な症状 | 歯列が狭くなっている。臼歯が前方に傾斜している為、 前歯部にがたつきを認める。 |
| 年齢 | 60代 |
| 治療に用いた主な装置 | 上下とも第一大臼歯までブラケットを装着した。 ほぼ全額矯正に近い形になった。 |
| 抜歯有無・抜歯部位 | なし |
| 治療期間 | 1年6か月 |
| 治療費用 | 65 万円 |
| リスク・副作用 | 途中、顎間ゴムを使用して咬合を整えた。 古い被せ物をセラミックにやりかえ、咬合をしっかりさせた。 |
case4.20代女性・八重歯と開口を改善したい
術前①:正面
|
術後①:正面
|
|
術前②:右側面
|
術後②:右側面
|
|
術前③:左側面
|
術後③:左側面
|
|
術前④:上顎口腔内
|
術後④:上顎口腔内
|
|
術前⑤:下顎口腔内
|
術後⑤:下顎口腔内
|
| 主訴 | 上下前歯のがたつきを治したい |
|---|---|
| 診断名・主な症状 | 上下前歯のがたつきと開口 |
| 年齢 | 20 代 |
| 治療に用いた主な装置 | 右上第二小臼歯から左上第一大臼歯。下顎第一小臼歯間にブラケット を装着。主に上顎に IPR(アイピーアール) 開口を治す為、前歯部に顎間ゴムを使用 |
| 抜歯有無・抜歯部位 | なし |
| 治療期間 | 10 か月 |
| 治療費用 | 48 万円 |
| リスク・副作用 | 上顎 犬歯が低位にあり、開口もある為、後戻りしやすい。 リテーナーとマウスピースにて保定 |
case5.20代男性・デコボコな歯並びを改善したい
術前①:正面
|
術後①:正面
|
|
術前②:右側面
|
術後②:右側面
|
|
術前③:左側面
|
術後③:左側面
|
|
術前④:上顎口腔内
|
術後④:上顎口腔内
|
|
術前⑤:下顎口腔内
|
術後⑤:下顎口腔内
|
| 主訴 | 上前歯のがたつきを治したい |
|---|---|
| 診断名・主な症状 | 上顎前歯部のがたつきと開口 |
| 年齢 | 20 代 |
| 治療に用いた主な装置 | 上顎小臼歯間にブラケット装着。IPR(アイピーアール) とオープンコイル使用 |
| 抜歯有無・抜歯部位 | なし |
| 治療期間 | 11 か月 |
| 治療費用 | 28 万円 |
| リスク・副作用 | 後戻り防止の為、リテーナーとマウスピースにて保定 |
case6.20代女性・すきっ歯を改善したい
術前①:正面
|
術後①:正面
|
|
術前②:右側面
|
術後②:右側面
|
|
術前③:左側面
|
術後③:左側面
|
|
術前④:上顎口腔内
|
術後④:上顎口腔内
|
|
術前⑤:下顎口腔内
|
術後⑤:下顎口腔内
|
| 主訴 | すきっ歯を治したい |
|---|---|
| 診断名・主な症状 | 咬み込みによるフレアーアウト |
| 年齢 | 20 代 |
| 治療に用いた主な装置 | 上顎前歯にブラケット装着 |
| 抜歯有無・抜歯部位 | なし |
| 治療期間 | 4 か月 |
| 治療費用 | 28 万円 |
| リスク・副作用 | リテーナーとマウスピース保定。 3 か月ごとに咬み合わせチェックをして後戻りを確認していく。 |
case7.40代女性・前歯のデコボコな歯並びを改善したい
術前①:正面
|
術後①:正面
|
|
術前②:右側面
|
術後②:右側面
|
|
術前③:左側面
|
術後③:左側面
|
|
術前④:上顎口腔内
|
術後④:上顎口腔内
|
|
術前⑤:下顎口腔内
|
術後⑤:下顎口腔内
|
| 主訴 | 上の歯がデコボコしている |
|---|---|
| 診断名・主な症状 | 歯列狭窄を伴う叢生 |
| 年齢 | 40 代 |
| 治療に用いた主な装置 | 第一小臼歯間にブラケット装着し、前歯を形態修正し、矯正した。 |
| 抜歯有無・抜歯部位 | なし |
| 治療期間 | 10 か月 |
| 治療費用 | 32 万円 |
| リスク・副作用 | 後戻り防止の為、ワイヤー固定とマウスピースにて保定した |
case8.20代男性・上の歯がデコボコで咬み合わせが悪いのを改善したい
術前①:正面
|
術後①:正面
|
|
術前②:右側面
|
術後②:右側面
|
|
術前③:左側面
|
術後③:左側面
|
|
術前④:上顎口腔内
|
術後④:上顎口腔内
|
|
術前⑤:下顎口腔内
|
術後⑤:下顎口腔内
|
| 主訴 | 上の歯がデコボコで咬み合わせが悪い。上のみ部分矯正希望 |
|---|---|
| 診断名・主な症状 | 叢生。 左上 2 歯の反対咬合 |
| 年齢 | 20 代 |
| 治療に用いた主な装置 | 小臼歯~小臼歯の範囲にブラケット。途中、2 歯の反対咬合を治すため バイトアップした。IPR(アイピーアール)。 |
| 抜歯有無・抜歯部位 | なし |
| 治療期間 | 9 か月 |
| 治療費用 | 33 万円 |
| リスク・副作用 | IPR(アイピーアール) が少し多くなった。後戻り防止の為、舌側固定とマウスピース で保定した 。 |
case9.20代女性・上の歯が出ている、すきっ歯を改善したい
術前①:正面
|
術後①:正面
|
|
術前②:右側面
|
術後②:右側面
|
|
術前③:左側面
|
術後③:左側面
|
|
術前④:上顎口腔内
|
術後④:上顎口腔内
|
|
術前⑤:下顎口腔内
|
術後⑤:下顎口腔内
|
| 主訴 | 上の歯が出ている。すきっ歯を治したい。 |
|---|---|
| 診断名・主な症状 | 上顎前突によるすきっ歯 |
| 年齢 | 20 代 |
| 治療に用いた主な装置 | 小臼歯間にブラケット装着 |
| 抜歯有無・抜歯部位 | なし |
| 治療期間 | 6か月 |
| 治療費用 | 28 万円 |
| リスク・副作用 | すきっ歯は咬み合わせによる後戻りがしやすいので、舌側固定と マウスピース保定を使用した。 |
case10.20代女性・上の歯が出ている、叢生でガタついているのを改善したい
術前①:正面
|
術後①:正面
|
|
術前②:右側面
|
術後②:右側面
|
|
術前③:左側面
|
術後③:左側面
|
|
術前④:上顎口腔内
|
術後④:上顎口腔内
|
|
術前⑤:下顎口腔内
|
術後⑤:下顎口腔内
|
| 主訴 | 叢生。上の歯が出ている。ガタついている上顎のみ矯正希望。 |
|---|---|
| 診断名・主な症状 | 重度の叢生 |
| 年齢 | 20 代 |
| 治療に用いた主な装置 | 犬歯から小臼歯にブラケット装着。IPR(アイピーアール) |
| 抜歯有無・抜歯部位 | なし |
| 治療期間 | 10か月 |
| 治療費用 | 30 万円 |
| リスク・副作用 | IPR(アイピーアール) 量が限られていた為、やや出っ歯気味になったが満足度の高い 結果となった。 |



































































































